Dartsch Scientific
Frumurannsóknir (in vitro) á virkni frumuumbreytinga í líffærasértækri frumuræktun.
allar þrjár rannsóknirnar voru framkvæmdar af Stofnuninni fyrir frumufræðileg prófunarkerfi – the Institute for Cell Biological Test Systems (DARTSCH SCIENTIFIC GMBH) af Prof Dr rer. nat. Peter C. Dartsch.

frumurannsóknir (In vitro) á virkni frumuumbreytinga í líffærasértækri frumuræktun (organ-specific cell cultures)
Frá árinu 1982 höfum við einbeitt okkur að þróun heildrænna læknisfræðilegra lausna sem miða að því að örva og styðja við heilunarmátt líkamans með frumuvakningu.. Þróuð hafa verið lækningatæki í flokki I og IIa, vottuð samkvæmt DIN EN ISO 13485 staðli fyrir lækningatæki. Þessi tæki eru hönnuð til að vinna saman á samhæfðan hátt. Stöðuga háþróaða tækið Rayocomp PS 1000 polar 4.0 med. er búið Rayoscan® greiningaraðgerð sem byggir á biofeedback methods to create an orkufræðilegt fingrafar einstaklingsinst. Á grundvelli slíkrar orkugreiningar, er hægt að móta einstaklingsmiðað meðferðarplan. Færanlega tækið Rayocomp PS 10 med. gerir jafnframt mögulegt að halda áfram meðferð heima, – undir leiðsögn meðferðaraðila.
Frumurannsóknir (in vitro) til að líkja eftir sáragróanda í ræktuðum bandvefsfrumum (fibroblastum)
Mini-Rayonex tíðnikubburinn hefur þegar sannað gildi sitt og árangur hjá hundruðum þúsunda notenda um allan heim.
Í annarri frumurannsókn (in vitro studyAn in vitro study is a scientific study conducted in an artificial environment, usually in a laboratory. In vitro studies are used to investigate the effects of substances, procedures or... More) sem framkvæmd var af Dartsch Scientific voru ræktar bandvefsfrumur notaðar til að kanna hvort tíðnisvið sem tækið sendir út gætu haft mælanleg jákvæð áhrif í frumuræktun, samkvæmt viðurkenndum og hlutlægum mæliaðferðum. Örvandi áhrif Mini-Rayone tíðnikubbsins á sáragróanda, sem áður hafa verið skráð af notendum, voru staðfest í þessari frumurannsókn. Áhrifin mældust sem næstum 20% örvun á frumustarfsemi.
Niðurstöðurnar sýna að notkun Mini-Rayone getur til dæmis stutt við og hraðað gróanda.
Athugið: Frumurannsóknir (in vitro) er ekki hægt að yfirfæra beint 1:1 yfir á menn.
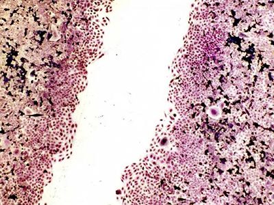
Smásjármyndir af örvuðum og óörvuðum bandvefsfrumum (fibroblastum)


Ritrýnd grein: Tíðnimeðferð samkvæmt kenningum Paul Schmidt (BAPS) og jákvæð áhrif hennar á heilbrigði þarmaslímhúðar – in vitro
Þriðja in vitro rannsókn, unnin í samstarfi við Dartsch Scientific, sýndi að tíðnikubburinn Mini-Rayonex verndar þekjufrumur úr þörmum gegn oxunarálagi. Rannsóknin sýndi að Mini-Rayonex getur stuðlað að þéttari slímhúð í þörmum og dregið þannig úr gegndræpi óæskilegra efna yfir í blóðrásina.
Í rannsókninni voru þekjufrumur úr þörmum meðhöndlaðar með virkum Mini-Rayonex tíðnikubbi tengdum við tvískauta loftnetkerfi (dipole antenna systemThe dipole antenna system of Bioresonance according to Paul Schmidt consists of a fixed and a moving rod layer. Depending on the angle that is chosen between the two rod... More) og bornar saman við frumur sem fengu meðhöndlun með óvirkum tíðnikubbi (placebo). Niðurstöður sýndu að örvun frumnanna með virkum tíðnikubbi styrkti slímhúðina í þörmunum um meira en 30% miðað við viðmiðunarhópinn. Auk þess sýndi rannsóknin að endurheimtarferli fyrrnefndu þekjufrumnanna eftir áverka jókst um meira en 12% þegar notaður var virkur tíðnikubbur miðað við óvirkan.Þessar niðurstöður gefa til kynna að notkun Mini-Rayonex tíðnikubbsins geti verið gagnleg við ákveðnar truflanir í þörmum, svo sem leaky gut syndrome (lekaþarm).
Rannsóknarskýrsla var birt í bandaríska tímaritinu Advances in Bioengineering & Biomedical Science Research.
Athugið: In vitro rannsóknir má ekki yfirfæra beint á menn (1:1).